- 병원소개
- 전문의 칼럼
- 스페셜 프로그램
- 색소·미백
- 여드름·흉터·모공
- 안티에이징
- 탈모·제모
- 피부질환치료
- 커뮤니티
- 온라인상담
안녕하세요.
부산 수영구 케이피부과에서
피부과 전문의로 활동하고 있는
강동영 원장입니다.
오늘은 흔하게 나타나는 피부 색소 문제이면서
치료는 쉽지 않아 많이 고민하는 선천성 갈색반점인
'밀크커피반점' 다른 이름으로는 '카페오레반점' 의
제거를 위한 치료 횟수와 간격, 사용된 레이저에 대해
설명드리겠습니다.
이전에도 이와 관련된 치료 후기를 올린 적이 있는데
오늘은 치료 방법에 대해 좀 더 보강된 내용입니다.
▼ 이전 내용 확인 하기
https://blog.naver.com/kbeauty0314/223207024496
이웃추가 하시면 블로그에서 더 많은 정보를
확인하실 수 있습니다.
■ 밀크커피반점 제거 까다로운 이유
밀크커피반점은 선천적으로 타고나는 갈색반점으로
멜라닌 세포가 아닌 멜라닌 색소가 과다하게
생성되어 나타나는 증상입니다.

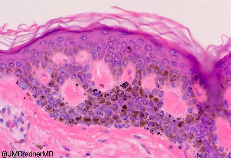
출처 : https://kikoxp.com/posts/5084/public/ 밀크커피반점(Café au lait spot) 미세현미경 관찰
그러다 보니 시간이 갈수록 점점 색이 진해지는
특징을 가지는데 일반 점과 달리 표피에서 색소가
끊임없이 만들어지기 때문에 치료가 까다롭고
재발이 잘 되는 특징을 가지고 있습니다.
밀크커피반점 제거는 평균 1주~2주 간격으로
(치료 시기에 따라 다르지만) 적게는 10회,
평균 20회~많게는 50회 이상 정도의 치료를
필요로 하는데 많은 분들이 10회~20회 정도 치료를 받고
어느 정도 없어졌다고 생각해 치료를 중단하는 경우도
많습니다.
밀크커피반점을 구성하는 색소 세포는 정상 부위에 비해
자극에 민감하고 색소가 과도하게 생성되기 때문에
같은 자극을 받아도 더 빠르게 색소가 쌓이게 됩니다.
이러한 기전을 안정화 시키지 않고 중단하게 될 경우
빠르게 재발하게 되는 것입니다.
어느 부위에나 생길 수 있으며 성장에 따라 병변이
함께 커지기 때문에 노출이 잘 되는 부위인
얼굴, 목, 팔, 다리 부분에 나타날 경우 신체 컴플렉스로 이어질 수 있어 치료를 원하는 분들이 많습니다.
■ 밀크커피반점 제거 치료 전후

전체 치료 횟수 및 치료 방법
- 포토나 QX-MAX 레이저
- 1~2주 간격으로 30회 시행
- 색소의 95% 이상이 제거
13세 어린이 환자로 출생 시부터 가지고 있던
우측 턱 아랫부분의 갈색반점인 밀크커피반점 제거를
위해 내원하였습니다.
밀크커피반점은 난치성 반점에 속하는 질환으로,
얕은 층에 위치하는 superficial floating type과
비교적 깊은 층에 위치하는 deep seated type으로
나눌 수 있으며, superficial floating type의 경우
포토나 1-2주 간격 10-30회,
deep seated type의 경우 포토나 1-2주 간격
30-50회 혹은 그 이상 치료할 경우 만족할 만한
효과를 내고 있습니다.
다만 이 질환은 type에 따라 다를 수는 있지만
총 치료 기간이 1년-2년 이상 소요될 수 있다고
미리 설명을 드리고 이에 동의를 하신 분만
치료에 들어가고 있습니다.
■ 밀크커피반점,치료 시기가 중요한 이유
앞서 이야기했듯 성장하며 범위가 넓어지고,
색소가 진해지기 때문에 피부 톤이 균일하고
피부 두께가 얕은 어릴 때 치료하는 것이 효과적입니다.
(대부분의 선천성 난치성 색소질환의 치료 시기를
빠르면 영유아 시기로 보는 것도 같은 이유입니다. )
1세 이하 영유아의 경우 7회~10회 치료만으로도
상당히 좋은 호전을 기대할 수 있을 정도로
치료시기는 연령이 어릴수록 좋습니다.
■ 치료에 사용되는 레이저

위에서 언급했다시피 저는 포토나 레이저인
QX-MAX를 주로 사용하고 있습니다.
포토나 레이저는 큐 스위치 엔디야그 레이저로
멜라닌세포 이외의 정상세포에는
영향을 주지 않으면서
에너지를 전달해 부작용을 최소화하며,
색소를 효과적으로 제거하는 치료가 가능합니다.

멜라닌을 생성시키는 멜라노좀을 억제하고
비정상적인 멜라닌 세포의 기능을 정상화
시킬 수 있는 효과를 가지고 있습니다.
저출력 방식을 사용하면 통증과 색소침착의 위험성을
줄이면서 안정적인 치료 결과를 얻을 수 있습니다.
환자의 병변 위치나 양상에 따라 치료 방법이 달라지며,
치료 반응에도 차이가 있어 같은 포토나 레이저를
사용한다고 해도 치료 횟수나 효과에 차이가 있을 수
있어 경험이 많은 곳을 선택해 치료받는 것이 좋습니다.
오랜만에 밀크커피반점 제거 치료 후기와 관련된
내용에 대해 소개해 드렸는데 본인 혹은 자녀의
몸에 생긴 갈색반점이 무엇인지, 치료를 한다면
어떤 치료가 진행되는지 궁금하셨던 분들에게
본 포스팅이 도움이 되었길 바랍니다.
부산 피부과 전문의로서 앞으로도 다양한 난치성
색소 치료 증례와 후기들을 소개하도록 하겠습니다.
감사합니다. ^^`
서로이웃추가 후 더 많은 정보 확인 부탁드립니다.
카카오톡 문의하기
전화 문의하기
Tel: 051-755-5511
Consultation
Location