- 병원소개
- 전문의 칼럼
- 스페셜 프로그램
- 색소·미백
- 여드름·흉터·모공
- 안티에이징
- 탈모·제모
- 피부질환치료
- 커뮤니티
- 온라인상담
안녕하세요.
부산 케이피부과의원
피부과전문의 강동영입니다.
오늘은 리프팅 중에서도 많은 분들이 한번씩은
들어보셨거나 받아보셨고, 부산에서도
많은 인기를 자랑하는 리프팅인
울쎄라와 슈링크의 효과와 차이점, 그리고
시술주기를 비교해 보고자 합니다.

울쎄라와 슈링크 리프팅 레이저는 돋보기를 이용해
종이를 태우는 방식으로 피부의 특정층을
응고시키는데 이러한 방식을 고강도집속초음파
HIFU(High intensity focused ultrasound)
라고 합니다.
에너지를 특정 피부층에 집중시켜 마찰열을
유도하여 발생한 고온의 열로 피부를 응고시켜
응고된 피부가 자연스럽게 재생 회복되면서
탄력과 처짐을 개선하는 것입니다.

이러한 방식을 사용하는 레이저로는 다양하지만
오늘은 그 중에서도 대중에게 가장 많이 알려진
울쎄라와 슈링크를 중심으로 비교해 보고자
합니다.
울쎄라와 슈링크 모두
1.5mm / 3.0mm / 4.5mm
3개의 깊이로 침투할 수 있다고 알려져 있습니다.
우리 얼굴은 부위에 따라 피부의 두께가 차이가
있어 그에 맞춰 시술을 진행해야 하기 때문입니다.
<울쎄라와 슈링크의 특징 >
두 가지 모두 이러한 초음파 리프팅이지만
실제 열응고존이 생성되는 깊이와 크기의
차이가 있습니다.
울쎄라는 집속초음파 방식을 최초로 사용한
리프팅 레이저로서 지정된 위치에 균일한 응고점을
만들 수 있는데 과장을 조금 보태자면
독보적(?)이라 할 수 있을 정도로 월등히 높은 편입니다.
덕분에 리프팅의 효과가 오래 지속되며
효과 또한 더 강하게 나타나는 것입니다.
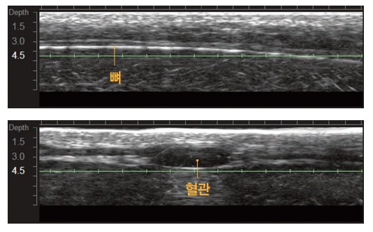
그리고 울쎄라는 슈링크와는 다르게 실시간으로
피부 속을 직접 확인하며 뼈와 혈관을 피해
시술할 수 있다는 점입니다.

직접 볼 수 있다는 것은 집속된 에너지를
뼈나 혈관, 또는 성형이나 필러 시술 등으로 인해
발생한 보형물 또는 삽입물을 피할 수 있다는
것이며, 눈가와 같이 얇은 피부층이나 턱이나
볼과 같이 두꺼운 피부층을 모두 고려하여
타겟팅 할 수 있다는 점입니다.
그리고 피부에 팁이 닿아야만 피부 속을 확인할 수
있는 만큼 피부와 팁의 미접촉 문제로 발생할 수
있는 시술의 부작용(화상 등)을 예방할 수 있습니다.
또한 피부와 팁이 정확하게 닿아야
피부층이 초음파 화면에서 매끄럽게 나오는데
매샷마다 이 화면이 깨끗하게 보이지 않으면
시술하지 않기 때문에 시간이 매우 오래 걸립니다.
그만큼 한샷한샷 정확하게 시술을 한다고 할 수 있습니다.
슈링크 또한 울쎄라와 같은 방식을 사용하는
레이저로 충분히 좋은 효과를 기대할 수 있습니다.
단지 앞서 말씀드린 이유들로 인해 울쎄라에 비해 유지기간이나 효과가
다소 약한편이나 비용적인 부분에서는
울쎄라에 비해 저렴합니다.

< 울쎄라와 슈링크의 시술주기 >
울쎄라는 효과가 강한 만큼 오랜 유지기간을
가지고 있어 시술주기를 평균 6개월~12개월
정도를 권장 드리고 있습니다. 최소샷인 300샷
정도로 부분적인 시술을 했다면 시술주기는
이보다 더 짧아질 수 있습니다.
슈링크는 평균 3개월~6개월 간격으로 시술을
권장 드리고 있으며 적은 샷을 사용한 경우에는
1개월~2개월 간격으로 받기도 합니다.
그래서 울쎄라는 효과가 강력한 만큼
40대 이상의 중장년층에 시술하게 되면 효과가
더욱 눈에 띄게 나타납니다.

< 울쎄라와 슈링크 권장 유형 >
20대 중반이나 그 이하의 연령이라면 대부분
슈링크 만으로도 충분한 효과를 볼 수 있으며
30대 초반부터 40대부터는 슈링크나
울쎄라 둘 중 본인의 상황에 따라 선택하는 것이
효과적입니다.
울쎄라는 강력한 효과를 가지고 있는만큼
심한 처짐이 있는 40대 이상의 연령이라면
1번 이라고 하더라도 울쎄라를 받는 것이
좋은 효과를 볼 수 있습니다.

물론 연령으로 리프팅 레이저를 선택하기 보다는
피부의 상태나 내원의 편리성, 그리고 비용까지
꼼꼼하게 따져서 판단해야 합니다.
저를 비롯해 부산의 많은 피부과들에서 울쎄라와
슈링크 리프팅은 물론 다양한 방식의
레이저리프팅 시술을 진행하고 있기에
탄력과 주름의 상태에 따라 본인에 맞는 리프팅이
어떤 것인지, 혹은 단독리프팅 보다는
복합 리프팅이 더 적합한 케이스인지
등에 대해 상담과 진단 후 선택해 보시길 바랍니다.
앞으로도 부산 피부과전문의로서 리프팅과 관련된
다양한 내용을 소개해 드리겠습니다.
위와 관련된 내용으로 궁금한 사항이 있으시다면
질문을 남겨주세요. ^^*
감사합니다.
서로이웃추가 후 관련 링크 확인 가능하며
더 많은 정보를 보실 수 있습니다.
카카오톡 문의하기
전화 문의하기
Tel: 051-755-5511
Consultation
Location